颅底和脑肿瘤中心
颅底和脑肿瘤中心
CHINA-INI 颅底和脑肿瘤中心成立于2018年12月,中心主任为肖新如主任。中心共有15名医生,其中主任医师7名,副主任医师5名,主治医师3名。共有23名护士,护士长为张晓蕾、马春梅主管护师。
颅底和脑肿瘤中心共有床位88张,15位医师包括9位主诊医师分别是肖新如、鲍遇海、徐庚、陈革、郭宏川、梁建涛、孟国路、汤劼、林庆堂医师,以及6位高年资医师魏宇魁、李茗初、侯远征、白杰、刘小海、宋刚医师。
本中心共有4个固定手术间,其中1间为术中核磁手术室。拥有3台蔡司Pentero 900高清显微镜和一台三鹰MM90/YOH显微镜、Storz高清神经内镜、Brainlab术中导航、Soring术中超声吸引器、Nicolet电生理监测等先进设备。能完成颅内及颅内外沟通的各种肿瘤,如胶质瘤、垂体瘤、脑膜瘤、听神经瘤、颅咽管瘤、脊索瘤、三叉神经鞘瘤、颈静脉球瘤、软骨肉瘤,以及三叉神经痛和面肌痉挛的显微外科治疗。
团队合影

擅长的专业特色疾病
1、联合应用术中磁共振、皮层电刺激、术中超声、术中唤醒等多模态技术治疗功能区胶质瘤。
2、个体化选择内镜、显微镜技术或双镜联合技术治疗侵袭性垂体瘤、颅咽管瘤、颅底脊索瘤等。
3、个体化选择半坐位、侧卧位,显微治疗听神经瘤,现每年手术量200台,面神经解剖保留率97%,面神经功能保留率(House-Brackman 1-3级)88%。
4、可以开展各种手术入路,如翼点入路、额外侧入路、眶上外侧入路、颞下岩前入路、颞枕联合小脑幕上下联合入路、乙状窦后入路、远外侧入路切除各种复杂的颅内外病变。
5、面肌痉挛、三叉神经痛以及舌咽神经痛的显微外科治疗。
6、和血管专业组密切合作,采用术前栓塞+手术切除的模式,显微外科切除各种高血运肿瘤,如脑膜瘤、颈静脉球瘤等。
7、本中心李茗初医生兼任CHINA-INI之Samii解剖实验室主任,为年轻医生显微解剖训练及临床操作技术的提高奠定了基础。
图片掠影

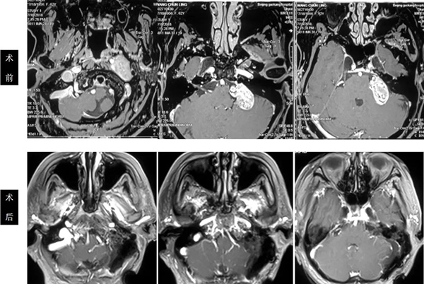
左侧颈静脉孔区神经鞘瘤手术前后

颅颈联合+经乳突经颈静脉突入路

在传统增强MRI (T1+C) 导航数据的基础上,叠加基于PET-MRI影像,根据肿瘤对氨基酸类放射性示踪剂18F-FET的摄取看到肿瘤“真正的边界”,从而做到在保护脑功能的基础上尽可能扩大切除肿瘤,延长患者的生存期,推迟复发时间。

在基于MRI中T2 Flair像和PET-MRI中18F-FET摄取像重叠起来形成的多模态影像导航下,基于对脑白质纤维束解剖的深入认识,在保护脑功能的前提下全部切除肿瘤。

对于与矢状窦关系非常紧密的窦旁肿瘤,在术前进行MRI,DSA,DTI(左侧偏盲)等多模态评估,由脑血管介入医师进行肿瘤的术前栓塞后,择期全部切除肿瘤,术后患者偏盲完全恢复,无神经功能缺失。


垂体瘤术前影像

颅咽管瘤术前影像

岩斜脑膜瘤手术前后

枕骨大孔脑膜瘤手术前后

2018.12-2019.8 完成的100例听神经瘤手术

兼顾美观,为女患者人文剃头

工作、学习照片
团队主要成员介绍
肖新如 副教授
职称:主任医师
职务:颅底和脑肿瘤中心主任

中国解剖学会神经外科分会主任委员,Dandy Neurosurgical Society司库,欧美同学会医师协会颅底外科分会副主任委员兼秘书长,中国医药教育协会神经内镜与微创医学专业委员会常委。曾在日本九州大学医学院做博士后研究;先后在美国Cleveland Clinic Foundation神经外科、圣路易斯大学医学院附属医院、凤凰城Barrow神经外科研究所参观学习。
擅长:各种复杂颅底肿瘤,如岩斜脑膜瘤、鞍区脑膜瘤、枕骨大孔脑膜瘤、听神经瘤、颈静脉孔区肿瘤、颅内外沟通性肿瘤、颅眶沟通性肿瘤、颅咽管瘤、以及胶质瘤和各种脑干病变的显微外科治疗。在垂体瘤、脊索瘤内镜治疗方面具有丰富的经验。
出诊时间:
周一上午(特需门诊)
周一下午(专家门诊)
鲍遇海 教授
职称:主任医师

宣武医院神经外科颅底和脑肿瘤中心主任,国务院特殊津贴专家,第四届中国医师协会神经外科分会总干事,世界神经外科联合会(WFNS)颅底委员会委员及脑血管病委员会委员。曾到维也纳大学神经外科、德国汉诺威神经科学研究所访问学习。《介入神经放射影像学》副主编、主译《显微神经外科学》(M.G.Yarsargil 著)、《颅底外科学》(M.Samii, W.Draf 著)等多部著作。擅长:听神经瘤、脑膜瘤、脑干海绵状血管瘤、颈静脉孔区肿瘤等颅底复杂疾病的显微外科治疗。
徐庚 教授
职称:主任医师

在国内较早完成功能区肿瘤全切除并保留神经功能,并及早地将基础研究成果(脑白质纤维解剖与影像技术相结合)应用于临床并取得了良好的效果,术后患者的生存期明显延长。通过影像技术与手术结合对窦旁脑膜瘤进行新分型,对窦旁脑膜瘤手术有有益的指导作用。在脑胶质瘤综合治疗方面,除开展放化疗,同时带领宣武医院肿瘤组在国内率先开展免疫细胞(CAR-T)治疗,利用PET-MRI进行脑胶质瘤精确诊断和治疗,并积极开展胶质母细胞瘤的分子靶向治疗以及分子治疗等。
擅长:功能区胶质瘤、岛叶胶质瘤、复杂颅内肿瘤的显微外科治疗。
出诊时间:
周二上午(专家门诊)
周四上午(专家门诊)
周三上午(特需门诊)
职称:主任医师

2001年10月至2002年4月到德国美茵茨(Mainz)大学附属医院神经外科跟随Axel Perneczky教授学习微侵袭神经外科,期间到奥地利维也纳大学解剖学院跟随Manfred Tschabitscher教授学习内镜和显微神经解剖。2005年3月至5月到日本东京慈惠大学附属医院神经外科访问研究,从事训练用内镜下经鼻蝶入路颅底模型的试验研究。现任:WFNS神经内镜委员会委员。中国医师协会神经外科分会神经内镜专家委员会委员、中国医师协会内镜医师分会神经内镜专业委员会委员、北京医学会神经外科分会神经内镜学组副组长、中国医师协会神经修复学分会下丘脑与垂体疾病学组委员、中国医师协会医师志愿者工作委员会副主任委员。
擅长:垂体瘤、颅咽管瘤、颅底脑膜瘤、听神经瘤、脊索瘤、三叉神经痛、面肌痉挛、脑积水等疾病的微创治疗。
出诊时间:
周一上午(专家门诊)
周三上午(特需门诊)
职称:副主任医师

2005年博士毕业于白求恩医科大学,2007年赴日本埼玉医科大学访问研修,2010年完成宣武医院博士后研究并留科工作;现任北京医学会神经外科分会神经内镜学组委员;荣膺“好大夫在线”网站五届年度好大夫,至2020年全国神经外科医生网络排名第四。
擅长:垂体瘤、脑膜瘤、听神经瘤、胆脂瘤、面肌痉挛、三叉神经痛、脑脊液鼻漏、各种神经鞘瘤的外科治疗,熟练掌握神经内镜或开颅显微外科手术。
出诊时间:周二下午(专家门诊)
职称:主任医师

研究生导师,中国医师协会肿瘤分会青年委员会第一届副主任委员,儿童肿瘤精准治疗委员会常委,北京市科技新星。1996年本科毕业于北京医科大学(现北京大学医学部),2004年毕业于首都医科大学附属北京天坛医院获得神经外科博士学位。曾赴美国、日本、瑞士等地交流学习。
擅长各种颅内肿瘤、颅底脑干肿瘤、脑干海绵状血管畸形、颅内外巨大肿瘤等的手术治疗。
出诊时间:
周三上午(专家门诊)
周三下午(特需门诊)
梁建涛 副教授
职称:主任医师
职务:神经外科副主任

先后毕业于山西医科大学、首都医科大学。曾到奥地利、德国、日本访问学习。师从世界神经外科大师Samii.M教授学习颅底显微外科技术,现在能熟练应用半坐位和侧卧位完成听神经瘤手术。北京市医学会神经外科分会颅底专业委员会委员、中国医师协会神经修复专业委员会委员。主持北京市首都特色课题、北京市扬帆计划等课题。2018年北京神经外科学术年会“青年医生手术视频大赛”二等奖,2019年CHINA-INI第2届手术视频大赛一等奖。
擅长:听神经瘤、颈静脉孔区肿瘤、脑膜瘤、脑干海绵状血管瘤、三叉神经痛、面肌痉挛及面瘫等疾病的显微外科治疗。
出诊时间:
周一上午(专家门诊)
周三上午(特需门诊)
汤劼 副教授
职称:主任医师

世界神经外科联合会(WFNS)颅底外科委员、WFNS颅底委员会委员和先进技术委员会委员、亚太颅底外科协会(AOSBS)委员,世界颅底外科协会(WFSBS)国际联络员,中国医药教育委员会神经肿瘤委员会委员。海峡两岸交流协会神经外科外科委员会委员。擅长复杂颅内病变的微创精准手术治疗,利用术中磁共振,神经导航和超声等先进图像引导技术治疗脑内和颅底病变。
擅长:胶质瘤、脑膜瘤、听神经瘤、脑干胶质瘤和海绵状血管瘤的显微外科治疗。
出诊时间:
周五上午(专家门诊)
周三下午(专家门诊)
周三上午(特需门诊)
林庆堂 副教授
职称:副主任医师

2010年博士毕业于美国著名肿瘤中心--MD安德森肿瘤中心。任中国抗癌协会神经肿瘤分会、中国医师协会脑胶质瘤专委会、北京肿瘤学会神经肿瘤分会等专委会委员及学组委员;任《Archives of Neuroscience》等杂志编委;主持多个国家级与省部级脑肿瘤基础与临床研究课题。
擅长:胶质瘤(复发)、脑转移瘤、脑膜瘤等颅内肿瘤的手术治疗(以脑功能保护为基础、多模态影像引导下)、药物治疗及基因-免疫治疗等综合医疗。
出诊时间:
周三上午(专家门诊)
周五下午(专家门诊)
魏宇魁
职称:主治医师

国内核心期刊和SCI共30余篇博士毕业于北京协和医院,师从国内著名神经外科专家王任直教授。其后在宣武医院神经外科攻读著名神经外科专家凌锋教授的博士后。博士后出站后在宣武医院工作。长期从事颅脑肿瘤的临床和基础研究。
擅长:胶质瘤、脑膜瘤、颅咽管瘤、听神经瘤等各类颅内肿瘤的外科治疗。
出诊时间:周三下午(专家门诊)
李茗初
职称:主治医师

宣武医院神经外科萨米临床神经解剖培训中心主任,1995年至2005年先后在在中南大学湘雅医学院临床医学七年制、湘雅二医院神经外科和湘雅医院神经外科学习,获医学博士学位。主要从事神经外科肿瘤亚专科临床工作,主要研究方向为临床神经解剖和颅底肿瘤临床研究。
擅长:面肌痉挛、三叉神经痛、垂体瘤、颅咽管瘤、听神经瘤、脑膜瘤以及其他颅底肿瘤的外科治疗。
白杰 副教授
职称:副主任医师

硕士研究生导师。2012年毕业于首都医科大学附属北京天坛医院神经外科,获博士学位。美国克利夫兰医学中心访问学者。国家自然科学基金获得者,发表本专业SCI文章及国内核心期刊10余篇。现任欧美同学会医师协会颅底外科分会副秘书长、常委。
擅长:擅长脑膜瘤、胶质瘤、垂体瘤、听神经瘤及其他各种颅内肿瘤的显微外科手术治疗。
出诊时间:周五下午(专家门诊)
侯远征 副教授
职称:副主任医师

本科及硕士就读于第四军医大学,博士就读于解放军总医院神经外科。擅长胶质瘤,脑膜瘤等各类脑肿瘤,脑积水的微创手术及综合治疗;善于综合利用术中磁共振,术中超声,多模态影像导航等多种目前最先进的影像技术,及电生理监测技术辅助脑肿瘤手术,以达到最大程度的切除肿瘤并最大程度保护神经功能的目标;擅长应用内镜技术治疗各类脑室内病变及复杂脑积水。主持并参研国家及省部级课题4项,以第一作者发表专业论文10篇,其中SCI论文7篇。
擅长:脑膜瘤、胶质瘤、脑转移瘤等颅内肿瘤的手术治疗(多模态影像引导下)、脑积水的微创手术及综合治疗。
出诊时间:周四下午(专家门诊)
职称:主治医师

医学博士(导师王任直教授),美国Cedars-Sinai医学中心博士后(导师Shlomo Melmed教授),《中国难治性垂体腺瘤专家诊治共识(2019)》编委及执笔人, 《中国复发性垂体腺瘤专家诊治共识(2019)》《中国库欣病诊治专家共识(2015)》编委。主要工作方向为颅底肿瘤特别是鞍区肿瘤(垂体腺瘤、颅咽管瘤及脊索)的手术及综合治疗。以第一或通讯作者发表SCI论文22篇,中文论文18篇,主持国家自然科学基金、协和创新工程项目、首都医科大学培育基金等多项课题,入选首都卫生发展基金“青年优才(2019)及北京市医管局“青苗计划”(2021),曾获得2016年教育部科学技术进步奖二等奖(排名第3)。目前主要研究方向:难治性垂体腺瘤的发病机制、手术及药物治疗。
擅长:垂体腺瘤、颅咽管瘤、脊索瘤、脑膜瘤、听神经瘤、面肌痉挛、三叉神经痛等颅底疾内镜及显微外科治疗。
出诊时间:
周一上午(专科门诊)
周三下午(专科门诊)
宋刚
职称:副主任医师

医学博士,宣武医院神经外科颅底和脑肿瘤中心副主任医师。主要擅长面肌痉挛、三叉神经痛、垂体瘤、颅咽管瘤、听神经瘤、脑膜瘤以及其他颅底肿瘤的外科治疗。参编著作2本,发表国内核心期刊和SCI共30余篇。
擅长:面肌痉挛、三叉神经痛、垂体瘤、颅咽管瘤、听神经瘤、脑膜瘤以及其他颅底肿瘤的外科治疗。
出诊时间:周四下午(专家门诊)
治疗环境

术中磁共振手术室





“为患者解决病痛 ” 是我们的初心









